Lời nhắn
×
Đăng kí thành viên để xem được nhiều hơn
Lời nhắn
×
Nâng cấp tài khoản để có thể sử xem toàn bộ hình
Lời nhắn
×
Lời nhắn
×
Cám ơn quý khách đã góp ý!
Lời nhắn
×
Cám ơn quý khách đã góp ý!
Lời nhắn
×
0944549868
Đăng nhập
Đăng kí
Tiếng Việt
Ngôn ngữ
English
Tiếng Việt
Trang chủ
X-Quang
X-Quang tim phổi
X-Quang đầu mặt cổ
X-Quang cột sống
X-quang bụng
X-quang xương khớp
X-Quang hệ niệu
X-Quang uncategorized
CT-scanner
CT-Scan đầu mặt cổ
CT-Scan lồng ngực
CT-Scan bụng - tiểu khung
CT-Scan mạch máu – chi
CT-Scan uncategorized
MRI
MRI sọ não
MRI cột sống cổ - ngực - thắt lưng
MRI Khớp vai
MRI tuyến vú
MRI tiền liệt tuyến
MRI Tử cung - phần phụ
MRI gan - đường mật
MRI Khớp gối
MRI uncategorized
Tài liệu
Tài liệu siêu âm
Tài liệu X-Quang
Tài liệu CT-Scanner
Tài liệu MRI
Tài liệu uncategorized
Phần mềm y học
Đăng kí
Đăng nhập
Đăng nhập
Đăng kí
CT-Scan bụng - tiểu khung
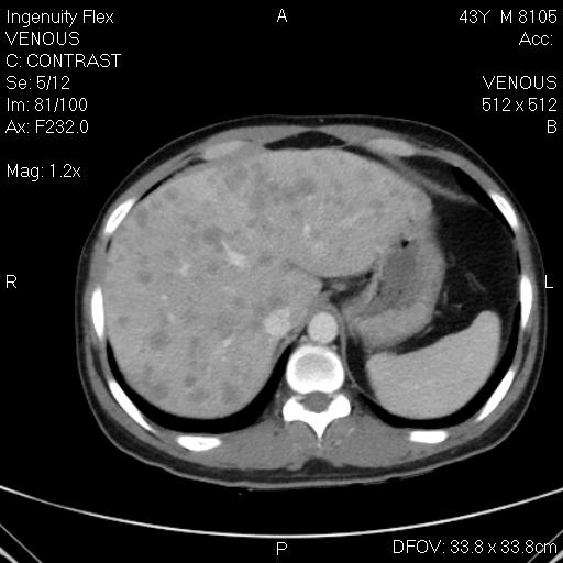
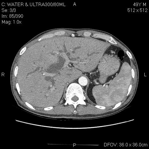
CT-bụng-hemagioma gan (P)
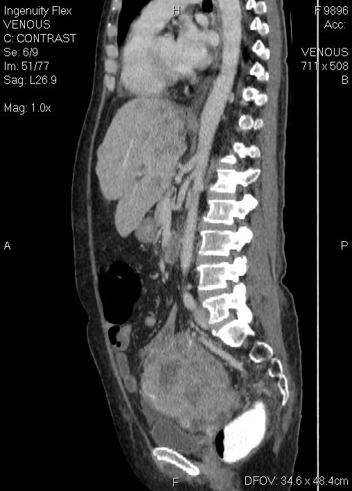
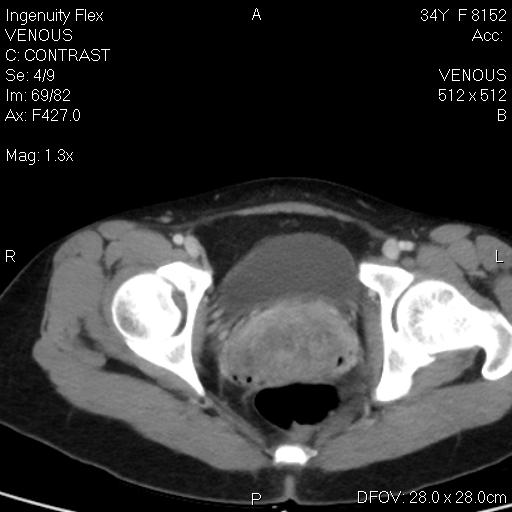
CT-bụng-ung thư bàng quang xâm lấn niệu quản
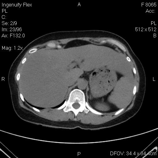
CT-ung thư vòm-di căn gan phổi
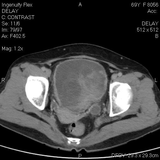
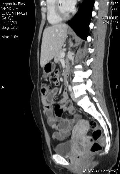
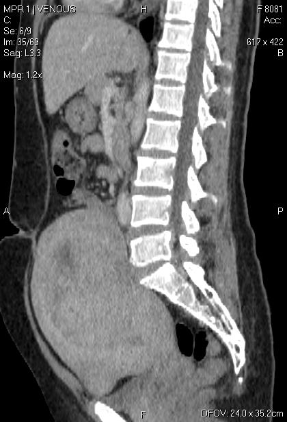
CT-ung thư cổ tử cung
CT-u đầu tụy
CT-ung thư cổ tử cung 2
CT-ung thư cổ tử cung - di căn gan - tràn dịch màng phổi, ổ bụng
CT-ung thư nội mạc tử cung
*{{ __('web.msg.log2see')*